Amalgam --> Composite
16 Pre-op
16 Pre-op
Amalgam + caries removal
Amalgam + caries removal
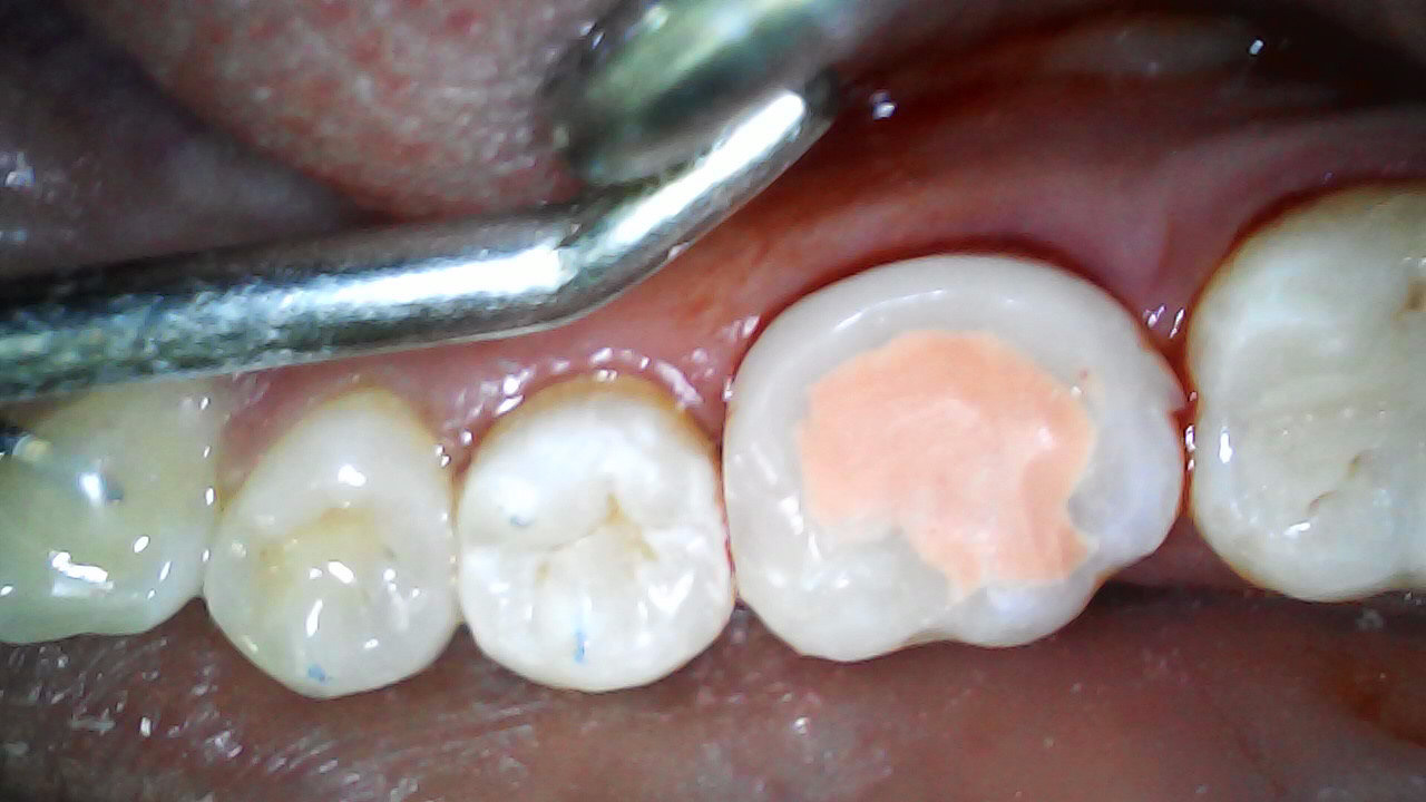
Cavity preps
Cavity preps
Anatomy and caracterisation
Anatomy and caracterisation
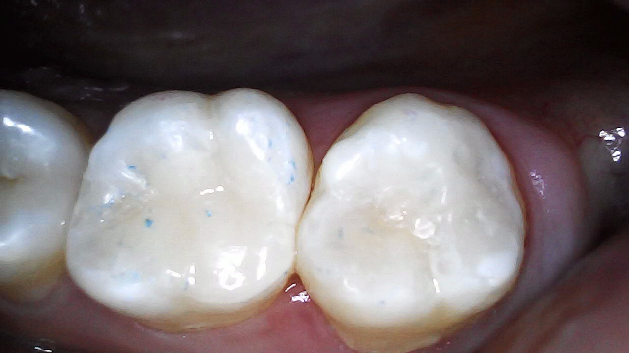
Final
Final
36 Selective caries removal - 3 month follow-up and Restoration
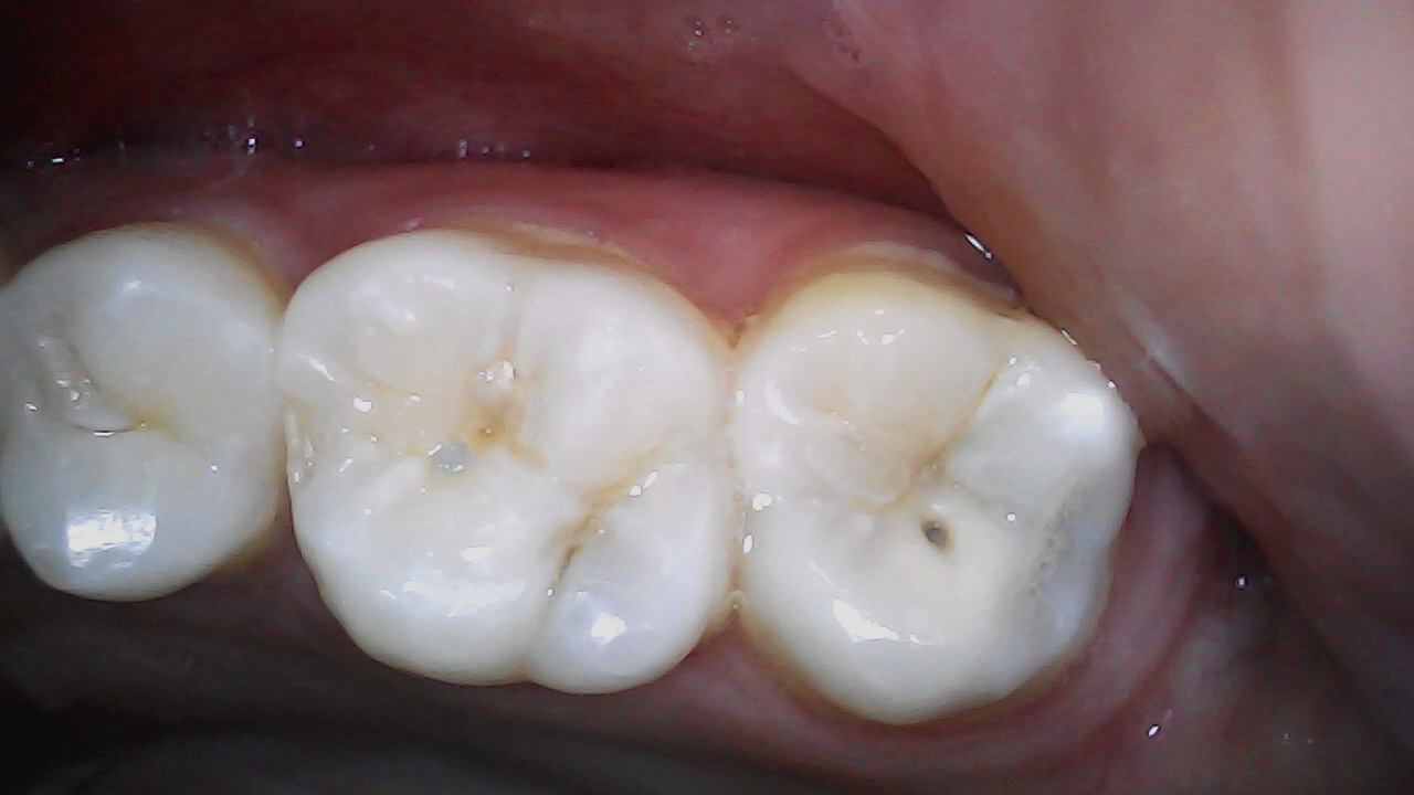
36 NTTP, Cold +ve, vital. 37 O caries
36 NTTP, Cold +ve, vital. 37 O caries
Initial
Initial
Composite restoration 37 and 36
Composite restoration 37 and 36
Selective caries removal with help from caries dye
Selective caries removal with help from caries dye
36 restores temporarily with Filtek Supreme A2B. Fuji VII to monitor pulp response 3 months
36 restores temporarily with Filtek Supreme A2B. Fuji VII to monitor pulp response 3 months
3 months later - Pulp remained vital, tooth asymptomatic (mesial overhang removed)
3 months later - Pulp remained vital, tooth asymptomatic (mesial overhang removed)
Temp fuji replacement with Ga-enial injectable A2, Ever X posterior & Filtek XT A2B
Temp fuji replacement with Ga-enial injectable A2, Ever X posterior & Filtek XT A2B
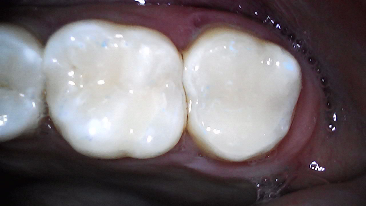
Final
Final
6 months post-op - Is still vital
6 months post-op - Is still vital
High caries risk "V" drinker teen
26 - 27 Pre-op
26 - 27 Pre-op
26 and 27 intra-op
26 and 27 intra-op
26 - 27 after
26 - 27 after
16 - 17 Pre-op
16 - 17 Pre-op
16 - 17 Post-op
16 - 17 Post-op
DOBP - function and aesthetics
BEFORE
BEFORE
AFTER
AFTER
26 DOB post- endo. Foundations for future onlay
BEFORE
BEFORE
AFTER
AFTER
24 DO
BEFORE
BEFORE
AFTER
AFTER
28 MOD
BEFORE
BEFORE
AFTER
AFTER
16 MODP
BEFORE
BEFORE
AFTER
AFTER
Back to Top