Increased OVD and restored using a combination of removable and fixed prosthodontics, composite and ceramic

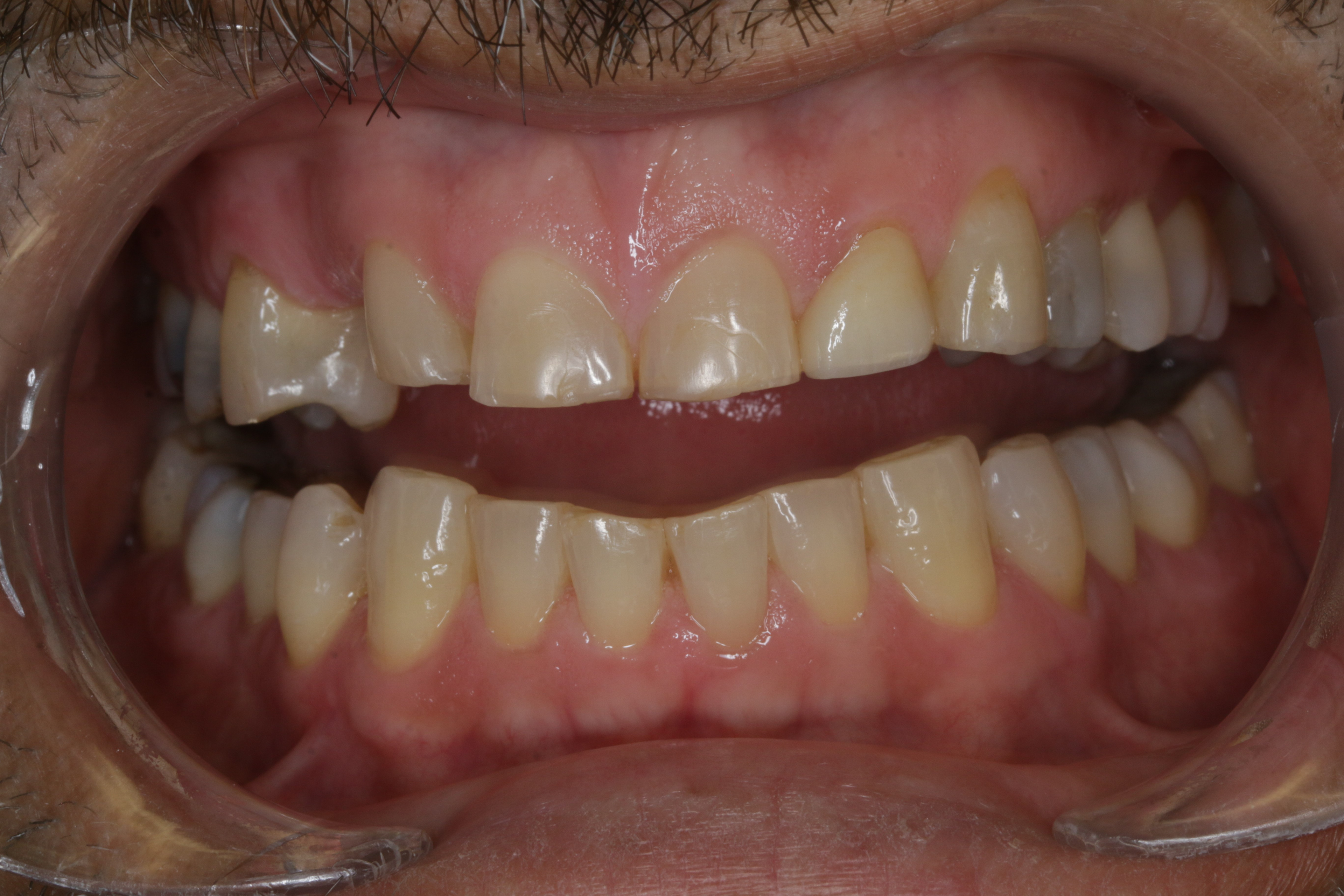
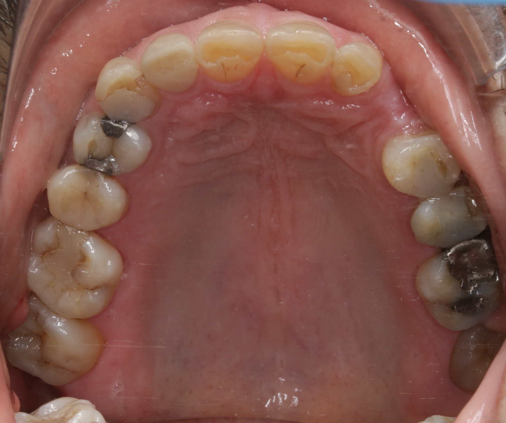
INITIAL RECORDS

BEFORE

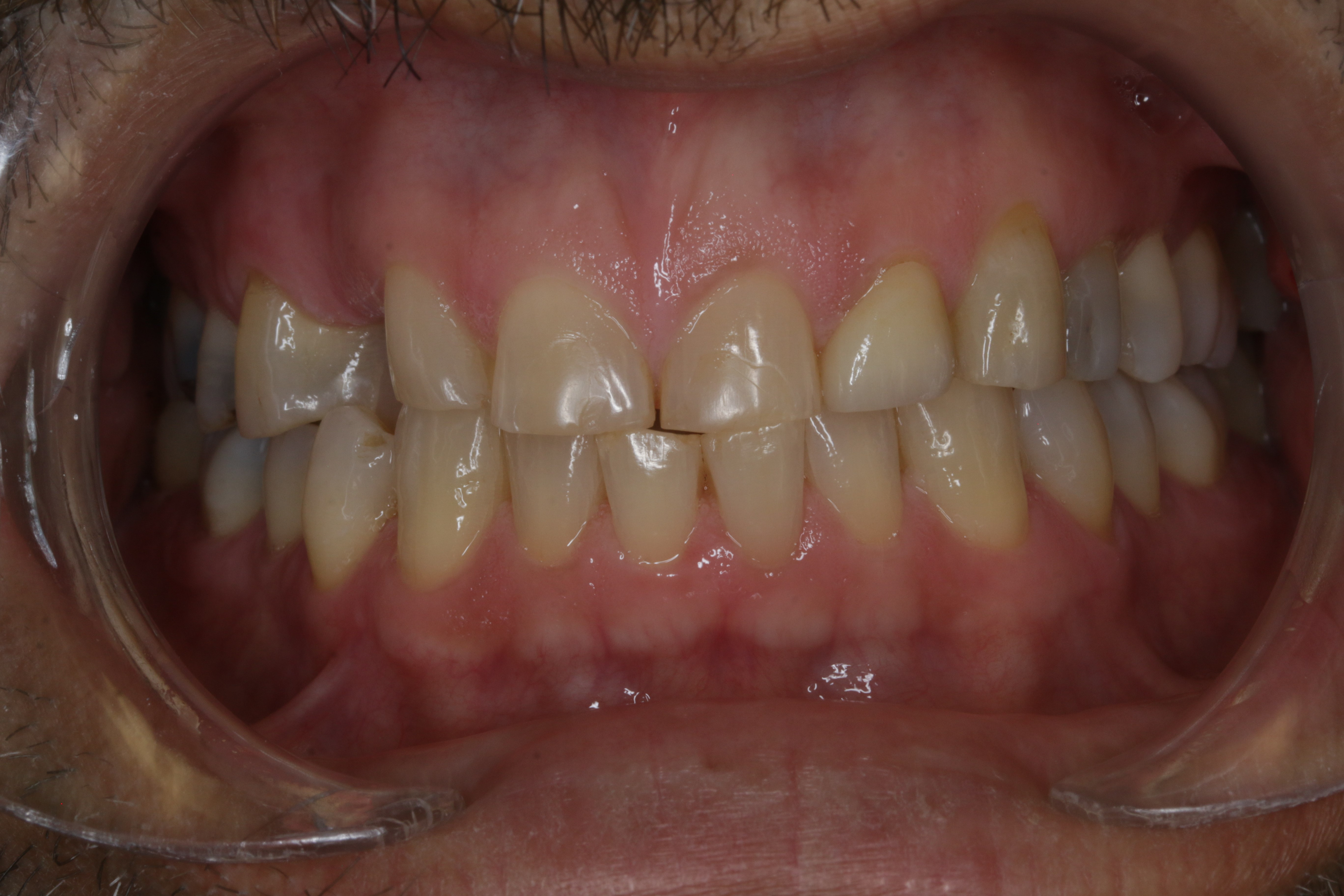
DURING

AFTER

AFTER

3 MONTHS REVIEW

BEFORE

AFTER

AFTER

A golden heart, A golden smile.
Increased OVD and regained anterior guidance. Combined composite, gold and ceramic. Stay tuned for 13.
BEFORE

AFTER
BEFORE

AFTER
BEFORE

AFTER

BEFORE
AFTER
BEFORE LEFT SIDE

AFTER LEFT SIDE
BEFORE RIGHT SIDE

AFTER RIGHT SIDE
BEFORE
