Canines characterization
A combination of ceramic and composite veneers
Initial
Initial
Mock-up
Mock-up
Before
Before
After
After
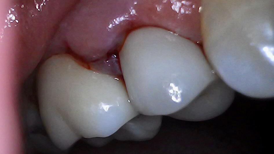
15 buccal fracture 
15 Fractured Buccal cusp
15 Fractured Buccal cusp
Tooth prep and IDS
Tooth prep and IDS
Palatal margin
Palatal margin
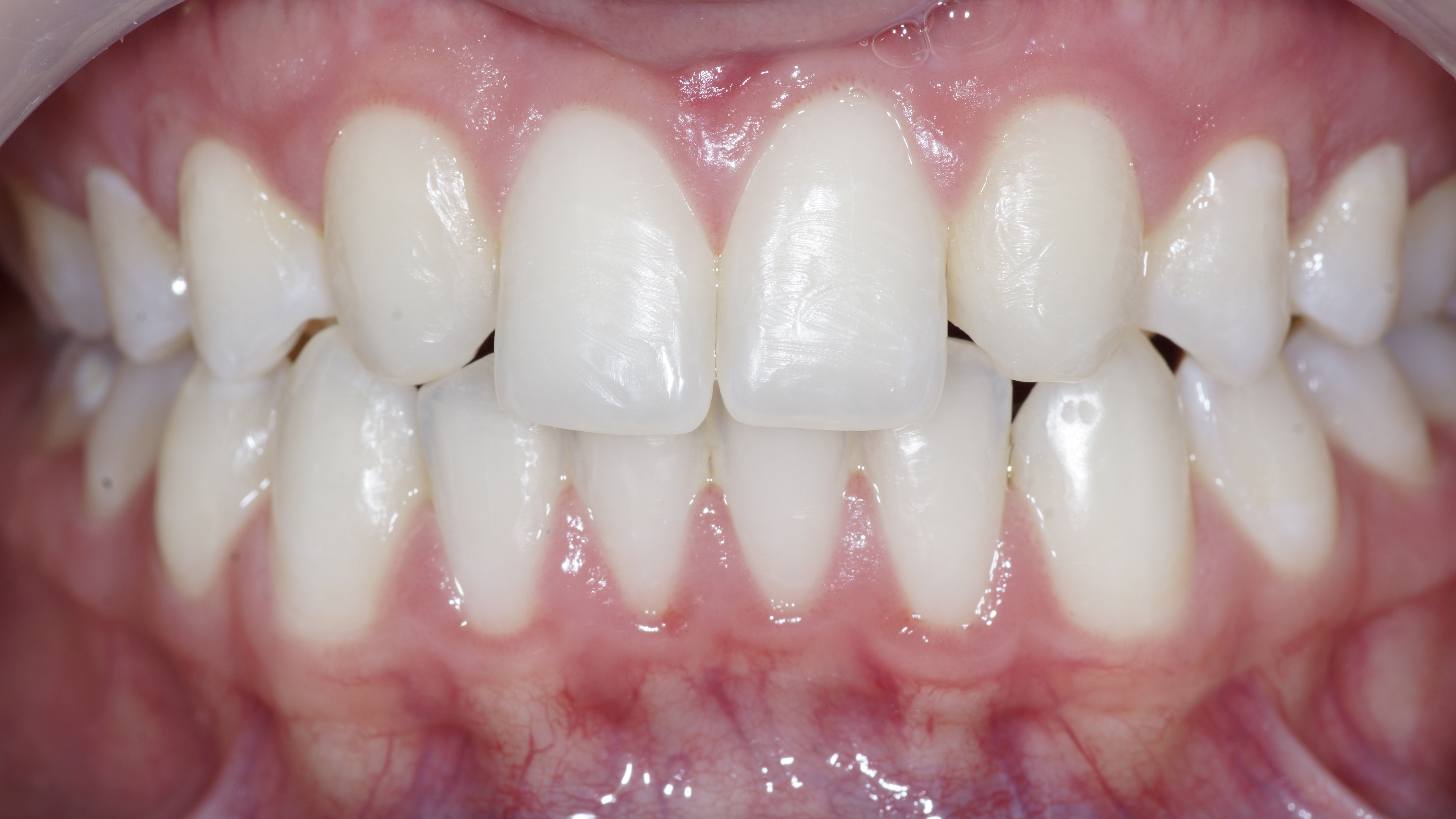
E-max Final post-op
E-max Final post-op
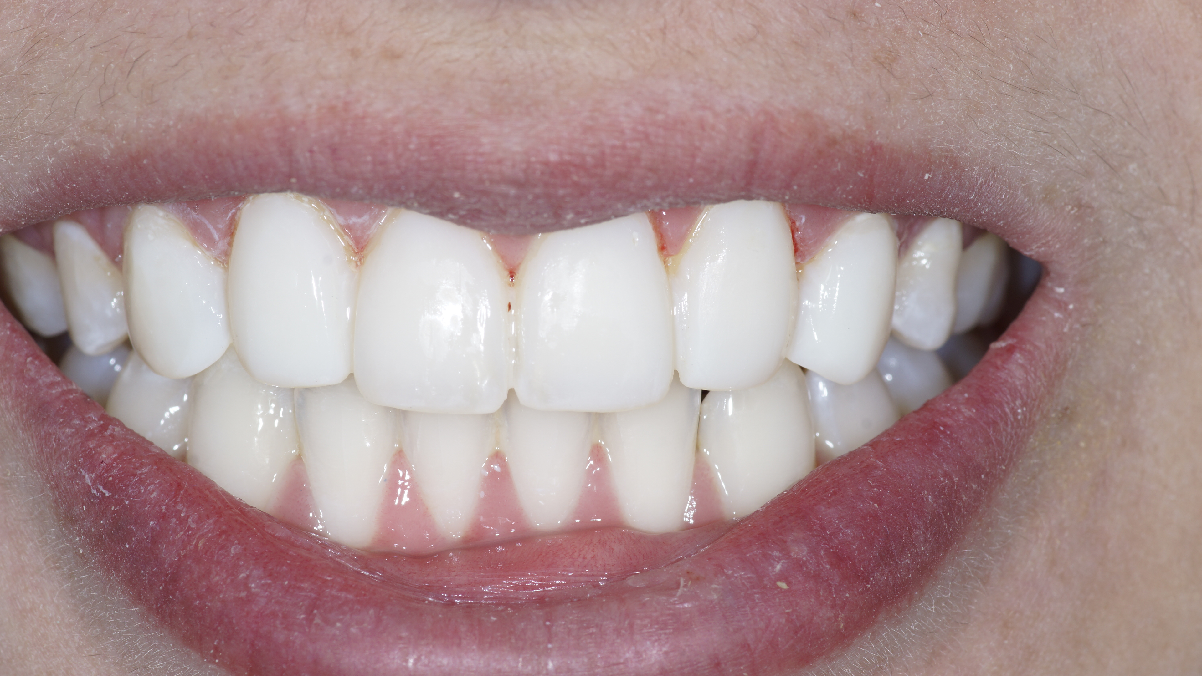
Immediate port-op - Nice shade
Immediate port-op - Nice shade
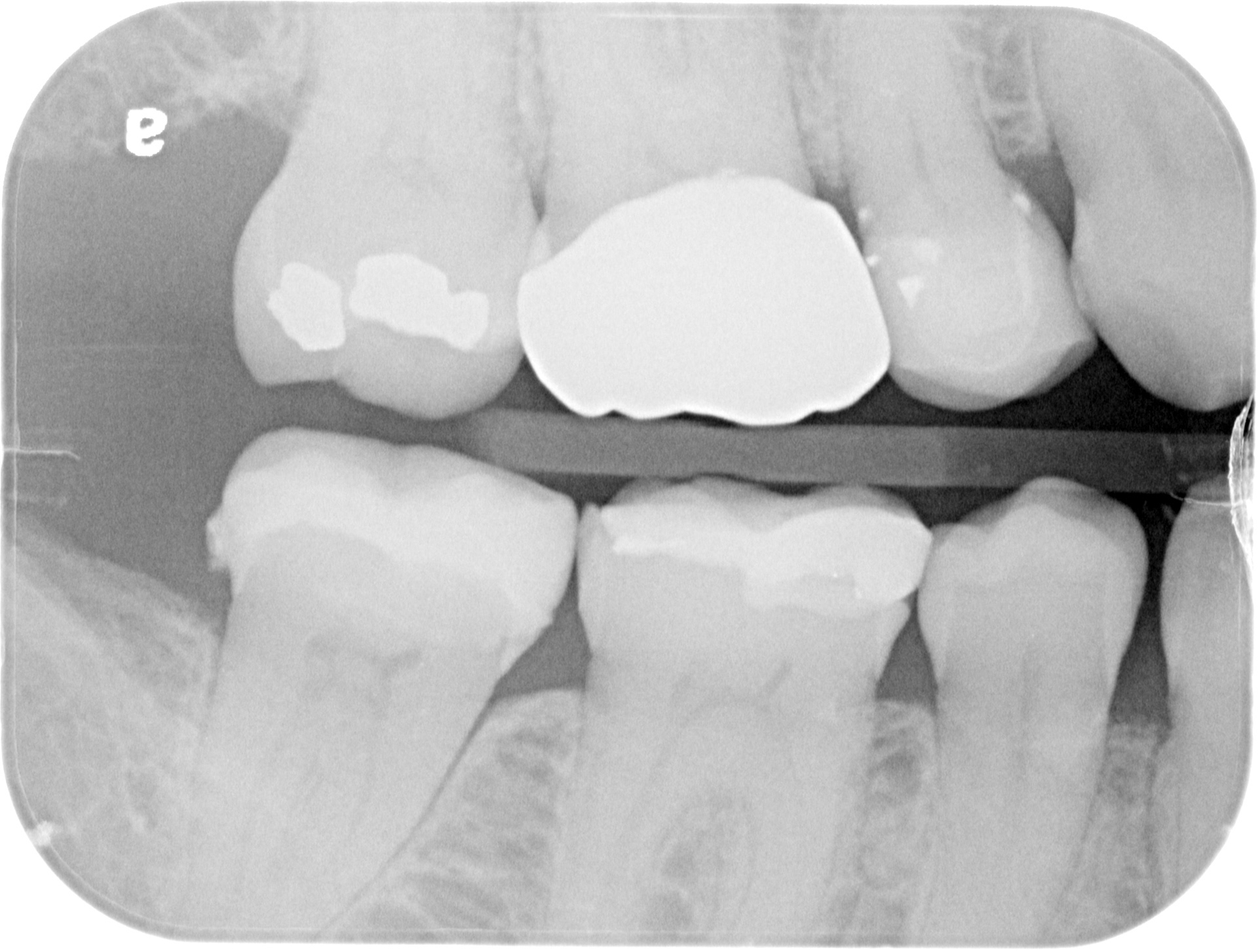
15 post-op bitewing
15 post-op bitewing
Back to Top