FunĀ and beautiful
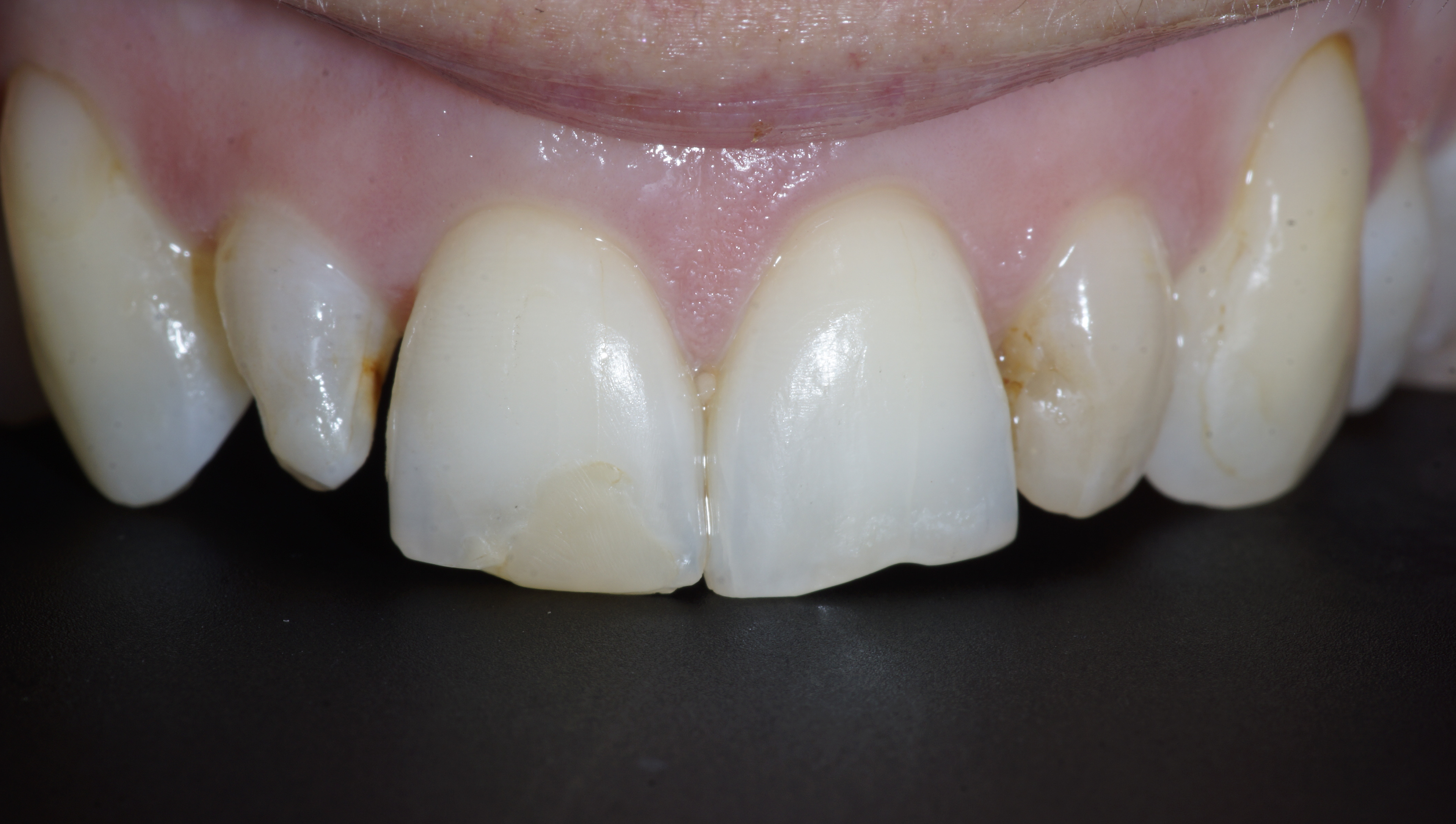
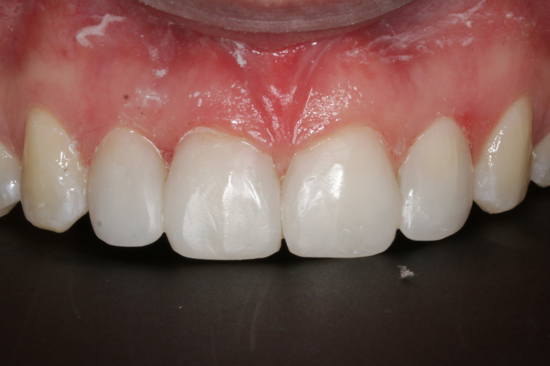
Anterior diastemas closure

BEFORE

AFTER



AFTER
Beauty and kindness
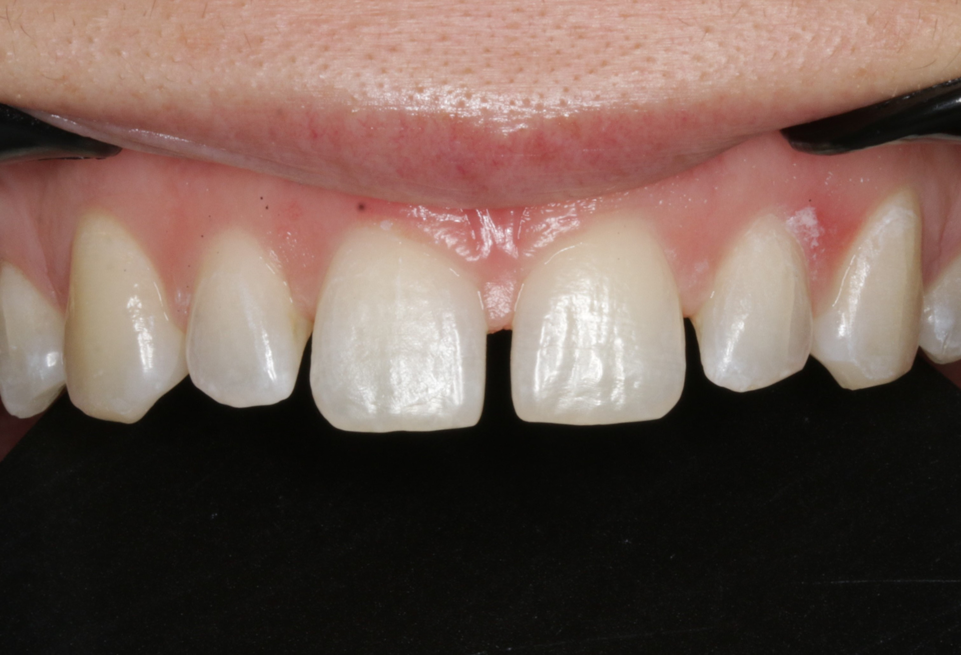
Diastema closures
BEFORE
IMMEDIATELY AFTER
Composite bondings for peg laterals
BEFORE

AFTER
BEFORE

AFTER
Smiles

BEFORE

AFTER

BEFORE

Sculpting beauty directly onto the tooth for an instant, natural transformation.